티스토리 뷰
목차
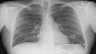
폐렴은 모든 사람들에게 영향을 미칠 수 있는 심각한 폐 감염으로, 한쪽 또는 양쪽 폐에 염증이 생기는 질병입니다. 한쪽 혹은 양쪽 폐에 고름이 차서 기침, 발열, 오한, 호흡 곤란과 같은 증상을 유발할 수 있습니다. 이 질환은 특히 고령의 성인, 아기, 면역력이 약화된 사람들에게 생명에 지장을 줄 수 있습니다. 이 글에서는 폐렴에 대해 자세히 살펴보고 이 심각한 질병의 위협을 줄이는 효과적인 방법에 대해 알아보겠습니다.

초기 증상과 종류 바로 알기
폐렴은 박테리아, 전염, 곰팡이 등 다양한 병원균에 의해 발생할 수 있으며, 박테리아 폐렴이 가장 흔한 유형 중 하나입니다. 폐렴의 일반적인 사례는 건강 상태, 연령 및 관련 특정 질환에 따라 다릅니다. 면역력이 약한 고령의 성인과 어린이들은 폐렴에 더 취약합니다. 천식, 습관성 폐쇄성 폐질환(COPD), 당뇨병, 심장 질환과 유사한 특정 건강 상태는 폐렴 발병 가능성을 높입니다. 이러한 질환은 폐 기능을 약화시켜 전염성 물질이 폐를 더 쉽게 침범할 수 있도록 할 수 있습니다. 환경 및 생활 요인으로 흡연, 과도한 알코올 섭취, 불순물이나 화학 물질에 노출되면 폐 건강이 악화되어 호흡기가 감염에 더 취약해질 수 있습니다. 혼잡한 환경에서 생활하거나 의료 환경에서 일하거나 지속적으로 먼지에 노출되는 것도 폐렴을 포함한 호흡기 감염의 위험을 높일 수 있습니다.
치료보다 중요한 예방 접종
예방 접종은 폐렴을 예방하는데 가장 효과적인 방법 중 하나입니다. 백신은 폐렴을 유발하는 일반적인 병원균을 표적으로 삼아 감염의 위협을 크게 줄일 수 있습니다. 폐렴구균 백신은 세균성 폐렴의 주요 원인인 연쇄상구균 폐렴균으로부터 보호합니다. 폐렴의 올바른 예방 접종은 전문 의료 시설에 상담하여 상황에 맞는 예방 접종을 권장합니다.
유익한 음식 섭취를 통한 식이요법
단백질은 신체의 구성 요소로서 세포 복구 및 회복을 돕습니다. 닭고기, 생선, 두부 등 저지방 단백질 공급원은 면역 체계와 폐 조직 복구를 지원하는 필수 아미노산을 제공합니다. 연어와 고등어와 같은 생선의 오메가-3 지방산은 항염증 효과가 있으며, 이는 폐 염증을 줄이고 폐렴 증상을 완화하는데 도움이 됩니다. 매 식사마다 지방이 적은 단백질을 섭취하면 에너지 수준을 높이고 신체의 치유 과정을 촉진할 수 있습니다. 이러한 단백질은 굽거나 찌는 등 최소한의 기름이나 향신료를 사용하는 방식으로 조리할 때 소화하기 쉽습니다. 폐렴 환자의 경우 식사를 단순하고 영양이 풍부하게 유지하면 회복에 긍정적인 변화를 가져올 수 있습니다. 완벽한 단백질 공급원인 계란은 비타민 D, 콜린, 셀레늄과 같은 필수 영양소를 함유하고 있습니다. 비타민 D는 면역 건강과 폐 기능에 특히 중요하며, 계란은 이 비타민을 공급해 주는 천연 식품 중 하나입니다. 계란에서 발견되는 콜린은 세포 기능과 염증 감소를 지원하여 호흡기 감염으로부터 더 빠른 회복에 기여할 수 있습니다. 아침 식사나 간식으로 계란을 먹으면 폐렴 환자에게 포만감과 영양이 풍부한 식단을 제공할 수 있습니다. 최소한의 기름을 사용하여 반숙 계란이나 스크램블 계란을 먹으면 소화가 잘됩니다. 수분이 풍부한 과일인 수박, 멜론은 90% 이상이 수분으로 이루어져 있어 수분 유지에 탁월합니다. 이 과일에는 폐 건강과 면역 지원에 필수적인 비타민 A와 C도 포함되어 있습니다. 딸기나 블루베리와 같은 베리류에는 산화 손상으로부터 폐를 보호하고 염증을 줄이는데 도움이 되는 항산화제가 풍부합니다. 회복 중에는 수분 공급이 필수적입니다. 수분 공급은 폐의 점액을 묽게 만들어 노폐물 배출을 더 쉽게 만드는 데 도움이 되기 때문입니다. 따뜻한 수프와 국물은 소화 시스템에 부담을 주지 않으면서 수분 공급과 필수 영양소를 모두 제공합니다. 특히 닭고기 수프는 폐에 점액 축적을 줄이는데 도움이 되며 아미노산이 풍부하기 때문에 폐렴 환자에게 유익한 음식입니다. 수프에 야채를 추가하면 영양가가 더욱 향상되어 면역체계 강화에 도움이 되는 비타민과 미네랄이 공급됩니다.
폐렴에서 회복하려면 휴식과 약물 치료 이상의 것이 필요합니다. 비타민, 미네랄, 항산화제, 수분 공급이 풍부한 음식을 포함하는 균형 잡힌 식단을 통한 영양공급입니다. 감귤류, 잎채소, 마늘, 물, 저지방 단백질 식품은 필수 영양소를 제공하고 면역 건강을 지원할 수 있습니다. 이러한 음식을 매일 식사에 포함시킴으로써 염증을 줄이고 면역체계를 강화하며 더 빠르고 완전한 회복을 촉진하는데 도움을 줄 수 있습니다.